Cabinet dentaire du Dr HASLE GIRON
Chirurgien-Dentiste à Rezé
ACCUEIL
LE CABINET
PLAN D'ACCÉS
URGENCES
VIDÉOS
FICHES CONSEILS
QUESTIONNAIRE PRÉ-RDV
Cabinet dentaire du Dr HASLE GIRON
15 Avenue Louise Michel
44400
Rezé
Chirurgien-Dentiste à Rezé
+33 2 40 74 03 96
ACCUEIL
LE CABINET
PLAN D'ACCÉS
URGENCES
VIDÉOS
FICHES CONSEILS
QUESTIONNAIRE PRÉ-RDV
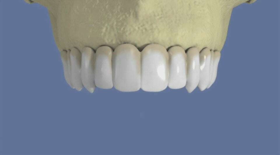
Maxillaire : bridge vissé sans fausse gencive
Vidéos 3D
Partager
Twitter
Partager
Partager
Envoyer
Copier
En savoir plus
Politique de confidentialité et charte cookie
Mentions légales
Conditions Générales Utilisation
Charte déontologique
Ordre national
Annuaires chirurgiens dentistes
Horaires
Lundi
8h30 - 12h30
,
14h - 19h30
Mardi
8h30 - 12h30
,
14h - 19h30
Mercredi
Fermé
Jeudi
8h30 - 12h30
,
14h - 19h30
Vendredi
8h30 - 13h
Samedi
Fermé
Dimanche
Fermé
Recherche
Création par
Connexion